SIRINGOMIELIA NEL CANE:UNA MALATTIA EMERGENTE
Si tratta di una malattia in genere congenita caratterizzata dalla formazione di una cavità – una “siringa”, appunto – nel tronco encefalico o nel midollo spinale a livello del collo,si estendono in lunghezza per alcuni segmenti del midollo che possono interessare tanto la materai grigia quanto quella bianca La Siringomielia puo’ esistere come entita’ distinta oppure essere in comunicazione con il canale centrale Spesso e’ difficile differenziare le due forme per cui spesso si utilizza il termine Siringoidreomielia. Cause.malformazioni congenite,traumi,infiammazioni e neoplasie,ma puo’ anche essere idiomatica. I segni clinici dipendono dalla sede spinale, il 40% e’ presente dolore spinale. Il cane si isola, ansima, guaisce quando lo si tocca, si gratta con accessi parossistici, sembra inciampare spesso, la testa si abbassa gradualmente e si manifesta una perdita dell’equilibrio, Mano a mano che la malattia progredisce l’animale perde la sensibilità delle zampe anteriori e non riesce a mantenersi in piedi. La muscolatura si indebolisce, sii atrofizza e diventa ipotermica. In più si verifica una diminuzione, più o meno marcata, della sensibilità tattile. Infine la paralisi si estende al tronco posteriore e il cane arriva alla paralisi completa. Alcune razze di cani – come per esempio il Cavalier King Charles Spaniel il Dalmata ed altre razze – presentano una particolare conformazione ( malformazione di Chiari) che rende la parte posteriore della teca cranica e la parte iniziale del canale cervicale più stretta del normale. In questi casi, nella parte posteriore del cervelletto, può facilmente verificarsi un’ernia in cui si raccoglie il liquor – il liquido cerebrospinale che protegge e irrora il midollo spinale – che va a raccogliersi in una specie di cavità. Gradualmente, quest’ultima si espande, continuando a riempirsi di liquor e provocando, con il tempo, gravi lesioni alle fibre nervose.” I sintomi iniziali. “I sintomi della siringomielia sono vari e fino a un certo punto, parzialmente inavvertibili. Solo l’occhio esperto del neurologo può identificare la particolare posizione della testa che il cane affetto da questa patologia assume. Il più delle volte, invece, la sintomatologia viene confusa con manifestazioni di artrosi cervicale, con dolori muscolari o con i sintomi dell’ernia cervicale
[youtube]http://www.youtube.com/watch?v=ki0qcXgN3Fw[/youtube]
[youtube]http://www.youtube.com/watch?v=6P4Zo0PpRCo&feature=related[/youtube]
DIAGNOSI: L’unico esame che può confermare la diagnosi di siringomielia è la Risonanza Magnetica.
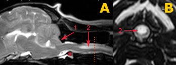
CANE RM SIRINGOMIELIA :

CANE RM NORMALE:

Terapia Medica: 1)farmaci che riducono la produzione del liquor cefalorachidiano: come gli inibitori dll’anidrasi carbonica l’Acetazolamide . In fase di studio sono gli inibitori della pompa protonica che hanno una certa influenza sulla produzione del liquor 2)farmaci che riducono il dolore: Il dolore nei casi lievi può essere controllato da farmaci non steroidei (FANS) .nei casi piu’ gravi i corticosteroidi 3) ipereccitabilità del sistema nervoso danneggiato:anticonvulsivanti nelle forme piu’ gravi. Questi farmaci nel tempo creano non pochi problemi per una gestione della malattia a lungo termine ,spesso l’acetazolemide deve essere sospeso per le ripercussioni sul metabolismo generale .L’uso di cortisone a lungo termine crea una immunodeficienza ed alterazioni di vari organi specie del fegato e del rene ,ghiandole surrenali ecc Terapia Chirurgica: Il trattamento chirurgico è indicato per cani con dolore refrattario o nei casi peggioramento dei segni neurologici Spesso la causa e’ un restringimento della fossa caudale per cui la chirurgia deve allargare il foro occipitale associando la rimozione della porzione anteriore dorsale dell’Atlante ed una Durotomia incidendo la membrana Dorsale Atlanto Occipitale che spesso e’ ispessita premendo sul midolo con conseguente alterato deflusso del liquor che si raccoglie a valle della ostruzione nella porzione di alcuni segmenti cervicali midollari, nei casi gravi i ventricoli cerebrali si dilatano per un mancato deflusso.a monte dell’ostruzione

Della chirurgia spesso si parla poco,ma senz’altro ha un’importanza fondamentale ,avvolte anche la sola incisione della dura e del legamento sovrastante allenta la pressione con un buon risultato. Nel caso di una grave deformazione dell’occipite con erniazione del cervelletto la craniotomia della porzione occipitale e’ un intervento molto delicato che richiede l’utilizzo di una rete metallica e l’aggiunta di cemento sterile per la copertura dell’apertura chirurgica.
Fondamentale in ogni caso una diagnosi precoce grazie ad un’osservazione attenta ed un esame neurologico del cane in esame ,spesso purtroppo questa malattia viene confusa con malattie ortopediche ,problemi comportamentali,disordini metabolici ecc .allungando i tempi per una terapia mirata efficace.
DOTT ALESSANDRO PROTA CONSULEZA NEUROLOGICA VETERINARIA ON LINE 3393201159
MALATTIE NERVOSE CAVALIER KING CHARLES SPANIEL, Malattie Sistema Nervoso Centrale nel Cane e nel Gatto, Neurologia, NEUROLOGO VETERINARIO NAPOLI ROMA BARI, SIRINGOMIELIA CANE, SIRINGOMIELIA CANE TERAPIA, SIRINGOMIELIA CAVALIER KING CHARLES, SPANIEL, VISITA NEUROLOGICA VETERINARIA DOTT PROTA
